Gum diseases, also known as periodontal diseases, affect the tissues surrounding and supporting your teeth. These conditions range from mild irritation (gingivitis) to more severe infections (periodontitis) that can lead to tooth loss. In this blog, we will explore the types of gum diseases, their symptoms, causes, diagnosis, management, prevention, prognosis, and possible complications.
Types of Gum Diseases
- Gingivitis: Gingivitis is the mildest form of gum disease. It is an inflammation of the gums that usually occurs due to poor oral hygiene. If not treated, gingivitis can progress to more serious gum diseases.
- Periodontitis: Periodontitis occurs when gingivitis is left untreated. It involves inflammation not only of the gums but also of the tissues and bone that support your teeth. It is a severe gum disease that can result in tooth loss if not treated.

Symptoms of Gum Diseases
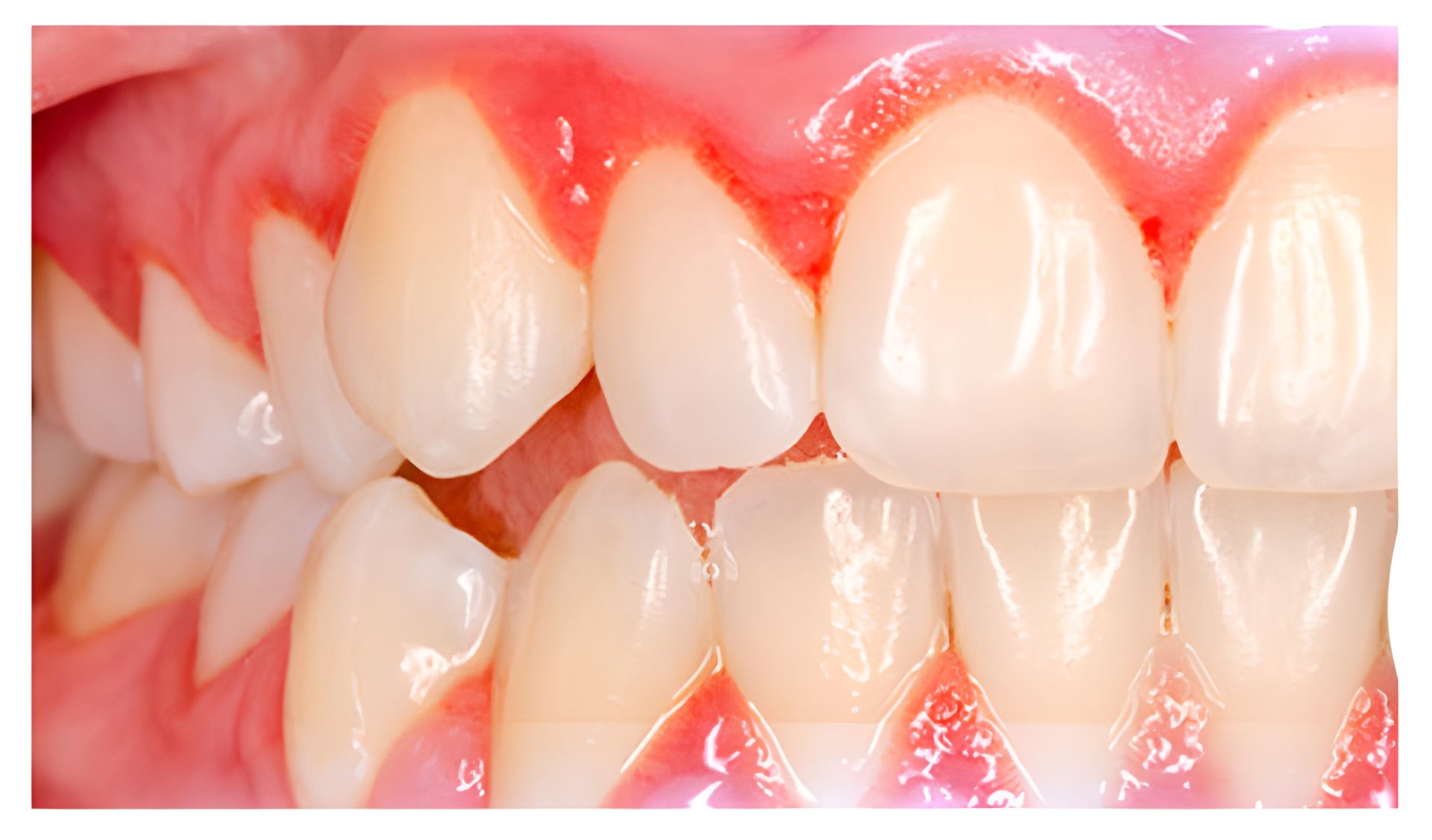
Gingivitis:
- Red, swollen, and tender gums
- Bleeding gums when brushing or flossing
- Bad breath
- Receding gums

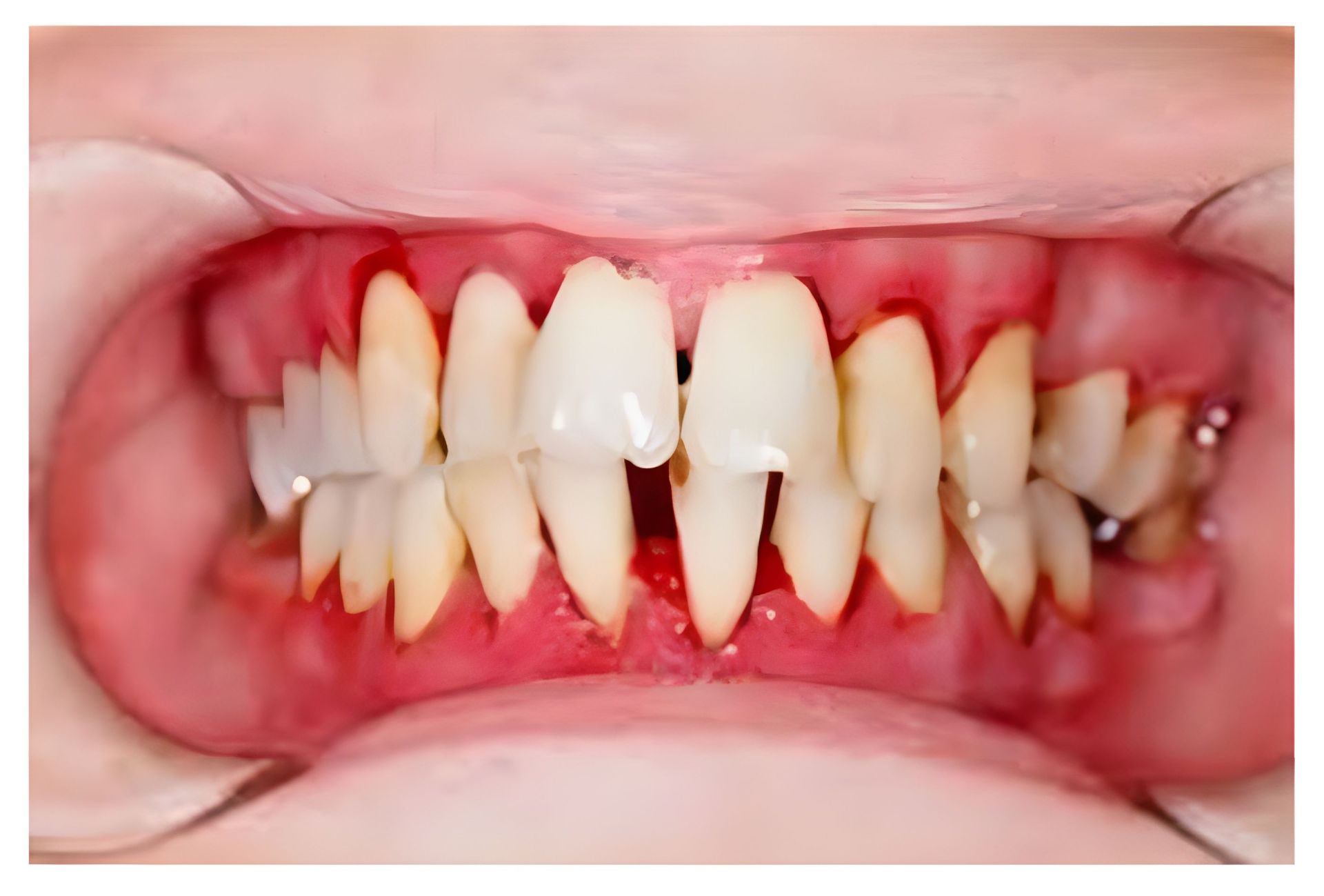
Periodontitis:

- Gingival symptoms (red, swollen gums)
- Gums that pull away from teeth, creating pockets
- Loose teeth or changes in bite alignment
- Pain while chewing
- Pus between teeth and gums
- Persistent bad breath or a bad taste in the mouth
Causes of Gum Diseases

- Poor Oral Hygiene: The main cause of gum disease is poor oral hygiene that encourages plaque to form on teeth, which can lead to gingivitis Plaque is a sticky, colourless film of bacteria that builds up on your teeth.
- Smoking or Chewing Tobacco: Tobacco use significantly increases the risk of gum disease by weakening the immune system and damaging gum tissue.
- Poor Nutrition: Lack of essential nutrients, especially vitamin C, can impair the body’s ability to fight infections and may contribute to gum disease.
- Certain Medical Conditions: Diseases like diabetes, HIV/AIDS, and cancer treatments may interfere with the body’s ability to fight infections, making the gums more susceptible to gum disease.
- Medications: Some medications can affect the health of your gums, leading to symptoms like dry mouth or abnormal gum growth.
- Hormonal Changes: Hormonal changes due to pregnancy, menstrual cycle, or menopause can make gums more sensitive, increasing the risk of gum disease.
- Genetics: A family history of gum disease can increase your likelihood of developing it.

Diagnosis of Gum Diseases
Diagnosis of gum diseases typically involves a dental exam. Your dentist will check for signs of inflammation, pocket depth between teeth, gum recession, and tooth mobility. They may also:
- Take X-rays: To determine the extent of bone loss caused by periodontitis.
- Gingival Crevicular Fluid Test: In advanced cases, this fluid may be analysed to detect the presence of bacteria causing gum infection.
Management of Gum Diseases
For Gingivitis:
- Professional Cleaning: A dentist or dental hygienist will clean your teeth to remove plaque and tartar buildup.
- Improved Oral Hygiene: Regular brushing and flossing, as well as using mouthwash, can
help reverse gingivitis.


For Periodontitis:
- Scaling and Root Planing: This deep cleaning treatment removes plaque and tartar from below the gumline and smooths the root surfaces to help the gums reattach to the teeth.
- Antibiotics: Your dentist may prescribe topical or oral antibiotics to help control infection.
- Surgical Treatments: In severe cases, surgical procedures such as flap surgery or bone grafting may be necessary to restore lost bone or tissue.

Prevention of Gum Diseases
- Regular Brushing: Brush your teeth at least twice a day with fluoride toothpaste to remove plaque and food particles.
- Flossing: Floss daily to clean between your teeth and below the gumline where a toothbrush can’t reach.
- Regular Dental Visits: Visit your dentist for routine checkups and cleanings, ideally every six months.
- Quit Smoking: Smoking is a major risk factor for gum disease, so quitting can significantly reduce your risk.
- Healthy Diet: Eat a balanced diet rich in vitamins and minerals, especially Vitamin C, to help your body fight off infections.


Prognosis of Gum Diseases
- The prognosis for gum diseases largely depends on early detection and intervention. Gingivitis, when treated early, can be reversed, while periodontitis can be managed but not completely cured. With appropriate treatment and diligent oral care, most individuals with gum disease can manage the condition and prevent further damage.
However, if left untreated, gum disease can lead to severe consequences like tooth loss, infections that spread to other parts of the body, and increased risk of heart disease and stroke.
Complications of Gum Diseases
- Tooth Loss: Severe periodontitis can lead to the destruction of the bone that supports your teeth, causing them to loosen and eventually fall out.
- Heart Disease: Gum disease has been linked to an increased risk of heart disease. Inflammation caused by gum disease may contribute to the development of cardiovascular conditions.
- Respiratory Infections: Bacteria from the gums can enter the respiratory system, leading to pneumonia and other lung infections.
- Diabetes Complications: Gum disease can make it more difficult to control blood sugar, making it more challenging for people with diabetes to manage their condition.
- Pregnancy Risks: Pregnant women with gum disease may face complications like preterm labor and low birth weight.

Conclusion
Gum diseases are serious conditions that can affect not only your oral health but your overall well-being. Recognising the symptoms early and practicing good oral hygiene can go a long way in preventing and managing gum disease. Regular dental visits and lifestyle changes, such as quitting smoking and eating a healthy diet, are crucial for maintaining healthy gums. By staying proactive about your dental care, you can ensure that your gums remain healthy for years to come.
Remember, a healthy mouth leads to a healthy body!