If you often wake up with jaw pain, headaches, or tooth sensitivity, your teeth might be working overtime while you’re asleep.
The culprit?
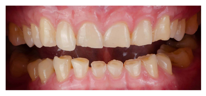
- Bruxism — the habit of grinding or clenching your teeth at night. Over time, this can wear down your enamel, cause fractures, and even affect your jaw joints. Luckily, there’s a small but mighty solution: the dental nightguard.

What is a Dental Nightguard?
A dental nightguard is a custom-made appliance that fits over your teeth, creating a protective barrier between your upper and lower jaws. Think of it as a safety helmet for your teeth while you sleep – it absorbs the pressure
and prevents tooth-to-tooth contact.

Why You Might Need One
To Prevent Tooth Damage Constant grinding can lead to chips, cracks, and worn-down teeth. A nightguard helps prevent irreversible enamel loss.
To Relieve Jaw Pain
By reducing pressure on the jaw muscles, a nightguard can ease morning soreness and tension.
To Protect Dental Work
If you’ve invested in crowns, veneers, or implants, a nightguard helps prolong their life by shielding them from excessive force.
To Reduce Headaches
Bruxism-related headaches often improve when the jaw muscles get a break from constant clenching.
Custom vs. Over-the-Counter Nightguards
Custom Nightguards: Made by your dentist from a precise mold of your teeth. They fit comfortably, last longer, and offer the best protection.
Over-the-Counter Nightguards: Available at pharmacies, often cheaper, but may be bulky or less effective due to poor fit.
Caring for Your Nightguard
- Rinse with cool water after each use.
- Brush it gently with a soft toothbrush—no toothpaste, as it can be abrasive.
- Store in a ventilated case.
- Avoid heat (hot water, sunlight) to prevent warping.
Final Thoughts
A dental nightguard may seem like a small addition to your bedtime routine, but it can save you from costly dental treatments and chronic discomfort. If you suspect you’re grinding your teeth at night, don’t wait for damage to show—talk to your dentist about getting a nightguard.
Your smile will thank you in the morning.